Implantes Dentales en Barcelona

Periodoncia en Barcelona

La periodoncia se encarga de prevenir y tratar enfermedades de las encías y tejidos de soporte dental. Cuidamos tu salud bucal para mantener tus encías fuertes y saludables.

¿Qué es la periodoncia?

La periodoncia es una rama de la odontología especializada en la prevención, diagnóstico y tratamiento de las enfermedades que afectan a los tejidos que rodean y soportan los dientes: encías, ligamento periodontal y hueso alveolar.
En Clínica Dental Edo, clínica dental en Barcelona, contamos con especialistas en periodoncia que trabajan para conservar la salud de tus encías y prevenir la pérdida dental, aplicando tratamientos avanzados y mínimamente invasivos.

¿Qué trata la periodoncia en Barcelona?

Los tratamientos de periodoncia se centran en eliminar la infección de los tejidos que rodean el diente, las encías, y frenar el avance de enfermedades como la gingivitis o la periodontitis. Estas patologías, si no se tratan a tiempo, pueden derivar en movilidad dental, recesión de encías e incluso pérdida ósea.
En nuestra clínica de periodoncia en Barcelona, abordamos cada caso con un plan personalizado y tecnología de diagnóstico de última generación.
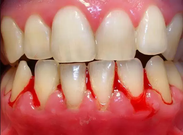
Encías con gingivitis

Gingivitis

La gingivitis es la fase más temprana de la enfermedad periodontal y una de las afecciones más comunes de las encías. Se produce por la acumulación de placa bacteriana en la línea de la encía, lo que provoca inflamación, enrojecimiento, sensibilidad e incluso sangrado durante el cepillado o al usar hilo dental.
Aunque puede parecer leve, es fundamental tratarla a tiempo, ya que puede evolucionar hacia una periodontitis si no se controla adecuadamente. En nuestra clínica de periodoncia en Barcelona, tratamos la gingivitis mediante limpiezas profesionales, educación en higiene oral y revisiones periódicas para mantener las encías sanas y prevenir complicaciones futuras.

Periodontitis

La periodontitis es una infección avanzada de los tejidos que sostienen el diente, y suele desarrollarse cuando la gingivitis no se trata a tiempo. En esta etapa, las bacterias atacan el hueso que da soporte a las piezas dentales, provocando pérdida ósea, movilidad dental y, en casos graves, la caída del diente.
En Clínica Dental Edo, especialistas en periodoncia en Barcelona, abordamos esta patología con técnicas de tratamiento periodontal como el raspado y alisado radicular, y en casos más avanzados, con cirugía o regeneración ósea guiada. Cuanto antes se diagnostique, más posibilidades habrá de conservar los dientes naturales y recuperar la salud de las encías.

¿Tienes alguna de estas enfermedades?

Si padeces alguna de estas enfermedades o has detectado alguno de los síntomas, contáctanos para comenzar el tratamiento. Cuanto antes se intervenga, mejor para tus dientes. No lo dudes, llama ahora.

Mucositis periimplantaria

La mucositis periimplantaria es una inflamación superficial de la encía que rodea a los implantes dentales, normalmente causada por acumulación de sarro alrededor de la conexión entre el implante y la prótesis. Es un problema frecuente y, si se detecta a tiempo, es completamente reversible.
En nuestra clínica de periodoncia en Barcelona, recomendamos acudir al dentista especialista en encías cada 3 a 6 meses para realizar controles de mantenimiento, higienes específicas y seguimiento del estado de tus implantes. Con una actuación temprana, evitamos que la mucositis evolucione hacia periimplantitis.

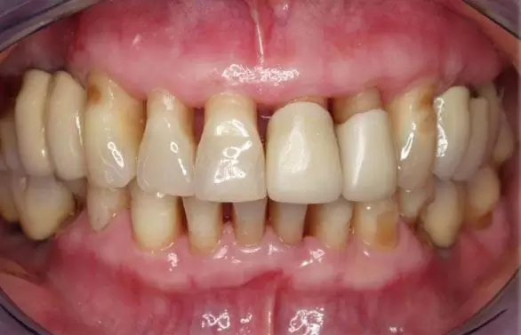
Periimplantitis

La periimplantitis es una fase más avanzada e infecciosa que afecta no solo a la encía, sino también al hueso que rodea el implante. Esta patología puede provocar pérdida ósea progresiva y comprometer la estabilidad del implante si no se trata adecuadamente.

Como especialistas en periodoncia en Barcelona, en Clínica Dental Edo abordamos estos casos con protocolos personalizados que incluyen desinfección profunda, cirugía regenerativa y mantenimiento estricto para preservar tanto la salud de los tejidos como la funcionalidad de la prótesis sobre implantes.

¿Qué intervenciones podemos necesitar dentro del campo de la cirugía periodontal estética?

La cobertura de raíces que, con el tiempo, han quedado expuestas.

Ausencia de encía en frentes estéticos

Retirar el exceso de encía que cubría los dientes para lograr recuperar las dimensiones correcta.

Cirugía plástica periodontal

En ocasiones, para poder lucir una bonita sonrisa es necesario rectificar la posición, forma y/o grosor de la encía. Este proceso lo realiza de forma brillante nuestra experta en cirugía plástica periodontal: la Dra. Gemma Sanmartí García.

Especialista del centro en cirugía plástica periodontal

El Centro de Salud dental Edo, cuenta con las experimentadas manos del Dr. Xavier Franco Edo, especialista en cirugía e implantología oral, prótesis, estética oral y conservadora. Su conocimiento y destreza en su campo hacen que obtenga resultados impecables y realmente sorprendentes.

Dr. Xavier Franco Edo

Información relevante sobre la Periodoncia

Sí, la predisposición genética puede influir en el desarrollo de enfermedades periodontales como la gingivitis o la periodontitis. Algunas personas tienen una mayor sensibilidad a las bacterias que provocan inflamación de las encías, lo que aumenta el riesgo de padecer estas afecciones incluso con una buena higiene oral.

En un mililitro de saliva podemos encontrar 100 millones de bacterias de entre 500 y 600 especies distintas. La gran mayoría de ellas no son dañinas, es más, muchas son necesarias para gozar de buena salud. Por otro lado, hay otros agentes bacterianos que son realmente nocivos y que están íntimamente relacionados con la enfermedad periodontal.

En Clínica Dental Edo realizamos estudios microbiológicos de la flora bacteriana de nuestros pacientes para detectar la presencia de cepas que causan la enfermedad de las encías y poder actuar de forma más específica con tratamientos especializados en cada caso particular.

Este análisis nos permite luchar contra esta enfermedad con mayor eficacia. También nos ayuda a anticiparnos a ella y a tratar precozmente sus primeros síntomas. Para aquellos pacientes en los que la enfermedad ya está instaurada, este estudio microbiológico nos permitirá evaluar el grado de nocividad que se presenta en cada uno de ellos y buscar tratamientos más selectivos en cada caso.

Algunos signos que indican que necesitas visitar un especialista en periodoncia en Barcelona son:

  • Encías que sangran al cepillarte

  • Mal aliento persistente

  • Retracción de encías

  • Movilidad dental

  • Sensibilidad dental o dolor al masticar

Cuanto antes se detecte la enfermedad, más fácil será tratarla y evitar complicaciones.

En muchos casos, sí. Gracias a técnicas de regeneración ósea e injertos de encía, es posible recuperar parte del tejido perdido por la periodontitis. En nuestra clínica dental de Barcelona realizamos procedimientos de cirugía periodontal mínimamente invasiva, con resultados predecibles y estéticos.

Los pacientes con diabetes y enfermedad periodontal avanzada multiplica x3 el riesgo de enfermedad cardiorrenal (Enfermedad Cardíaca Isquémica y Nefropatía Diabética, combinadas) a diferencia de los diabéticos sin periodontitis. (Periodontal Disease and Mortality in Type 2 Diabetes; Diabetes Care, Volume 28, Number 1, January 2005)

 

Los pacientes con periodontitis tienen un 25 a 50% más de riesgo de padecer un infarto de miocardio o un accidente cerebrovascular. (Periodontal Disease and Atherosclerotic Vascular Disease: Does the Evidence Support an Independent Association? A Scientific Statement From the American Heart Association; November 2012)

Más información sobre Periodoncia

Por favor, activa JavaScript en tu navegador para completar este formulario.
¿Cuándo quieres que te contactemos?
Scroll al inicio