Implantes Dentales en Barcelona

Carillas dentales en Barcelona

Una sonrisa puede cambiarlo todo. Descubre cómo, con nuestras carillas cuidadosamente diseñadas en Barcelona, puedes recuperar la confianza al mirarte al espejo.

¿Qué son las carillas dentales y cómo mejoran tu estética dental?

Las carillas dentales son finas láminas de porcelana o composite que se adhieren a la superficie visible del diente para corregir defectos estéticos. Permiten mejorar el color, la forma y la posición de los dientes de manera conservadora, sin alterar en exceso la estructura dental original.
Este tratamiento de estética dental ofrece una solución eficaz para quienes desean una sonrisa más uniforme y natural. Gracias a su durabilidad y a los avances en materiales, las carillas proporcionan resultados predecibles y mantienen su apariencia a lo largo del tiempo con un mantenimiento sencillo.

Tipos de carillas dentales que ofrecemos

Carillas dentales de porcelana puestas

Carillas de porcelana o cerámica

Las carillas de porcelana ofrecen una excelente resistencia, estabilidad del color y un resultado altamente estético. Se fabrican a medida y se adhieren de forma segura al diente, mejorando su forma, color y alineación con un desgaste mínimo de la superficie dental. Son una opción ideal para quienes buscan una solución duradera y de aspecto natural.
  • Alta resistencia y larga durabilidad (10–15 años con buen mantenimiento).
  • Aspecto natural gracias a su translucidez.
  • Resistentes a las manchas y al desgaste.
  • Requieren una preparación mínima del diente.
  • Mantienen su color estable a lo largo del tiempo.
Carilla dental sobre los dientes

Carillas de composite

Las carillas de composite se aplican directamente sobre el diente y permiten mejorar la sonrisa en una sola sesión. Son una alternativa más económica y conservadora que las de porcelana, adecuadas para corregir pequeñas imperfecciones o modificar detalles estéticos de forma rápida.

  • Tratamiento rápido y mínimamente invasivo.
  • Posibilidad de realizar retoques o reparaciones sencillas.
  • Más económicas que las carillas de porcelana.
  • Indicadas para mejorar forma, tamaño y color dental.
  • Resultado estético inmediato tras la colocación.

Especialistas en carillas dentales en Barcelona

Nuestro equipo está formado por especialistas en carillas dentales con amplia experiencia en tratamientos de estética dental. En Clínica Dental Edo combinamos tecnología digital y técnicas mínimamente invasivas para obtener resultados personalizados, precisos y funcionales.

Proceso del tratamiento de carillas dentales en Barcelona

Primera visita y diagnóstico

Durante la primera consulta realizamos un estudio completo para determinar el tipo de carilla más adecuado según la situación bucodental y los objetivos estéticos del paciente.

Diseño digital de sonrisa (DSD)

Utilizamos herramientas digitales que permiten visualizar el resultado final antes de iniciar el tratamiento.

Colocación de las carillas dentales

Tras la planificación, se preparan los dientes y se cementan las carillas con máxima precisión.

Mantenimiento y revisiones periódicas

Recomendamos revisiones regulares y hábitos de higiene adecuados para mantener los resultados a largo plazo.

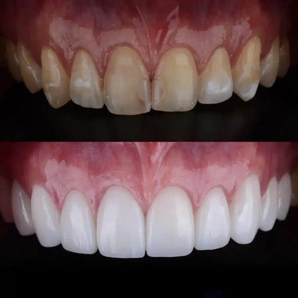
Antes y después de nuestras carillas dentales en Barcelona

Antes y después de poner carillas dentales composite

¿Por qué elegirnos para tu tratamiento de estética dental en Barcelona?

colocando carillas dentales
En Clínica Dental Edo contamos con una amplia experiencia en tratamientos de estética dental y rehabilitación oral. Nuestro equipo combina conocimientos especializados con tecnología digital avanzada para ofrecer resultados precisos, duraderos y adaptados a las necesidades de cada paciente. Trabajamos con materiales de alta calidad y técnicas mínimamente invasivas que garantizan una mejora estética natural y funcional.
Además, ofrecemos un trato cercano y personalizado en cada fase del tratamiento. Desde la primera valoración hasta el seguimiento posterior, acompañamos al paciente para asegurar su confort y satisfacción. También disponemos de opciones de financiación flexibles que facilitan el acceso a tratamientos de carillas dentales en Barcelona sin comprometer la calidad del servicio.

Preguntas frecuentes sobre las carillas dentales en Barcelona

¿Cuánto duran las carillas dentales?

La duración depende del material y del cuidado posterior. Las carillas de porcelana pueden mantenerse en perfectas condiciones entre 10 y 15 años, mientras que las de composite suelen requerir mantenimiento a los 5 o 7 años. Una buena higiene bucodental y revisiones periódicas ayudan a prolongar su durabilidad.
No. Es un procedimiento mínimamente invasivo y, en la mayoría de los casos, se realiza sin necesidad de anestesia. En caso de ser necesario un ligero tallado del diente, se aplica anestesia local para garantizar la comodidad del paciente durante todo el proceso.
Las carillas de porcelana ofrecen mayor resistencia, estabilidad del color y una apariencia más natural. Las de composite, en cambio, se aplican en una sola sesión y son más económicas, aunque requieren un mantenimiento más frecuente.
Depende de cada caso. En algunos casos leves, las carillas pueden corregir pequeñas irregularidades o cubrir empastes anteriores. Si existe una malposición más pronunciada, puede ser recomendable realizar primero un tratamiento de ortodoncia antes de colocar las carillas.
El precio varía según el tipo de carilla (porcelana o composite) y el número de dientes a tratar. En Clínica Dental Edo realizamos una valoración personalizada y ofrecemos opciones de financiación para adaptar el tratamiento a las necesidades de cada paciente.

Reserva tu cita para una sonrisa perfecta

Solicita una consulta en Clínica Dental Edo y descubre cómo las carillas dentales pueden mejorar tu sonrisa.
Nuestro equipo te ofrecerá una valoración personalizada en nuestra clínica de Barcelona.

Por favor, activa JavaScript en tu navegador para completar este formulario.
¿Cuándo quieres que te contactemos?
Scroll al inicio