Implantes Dentales en Barcelona

Ortodoncia para Niños

La ortodoncia infantil corrige problemas dentales desde los 6 años, aprovechando el crecimiento para evitar futuros problemas.

Detectar los problemas a edades tempranas es la base del éxito

La mejor edad para acudir al dentista para una revisión de malposiciones dentarias en los niños es a los 6 años. Sí es cierto que podemos realizar correcciones a cualquier edad, pero a partir de los 6 años ya han salido las primeras muelas permanentes, o les falta poco por completar su erupción. La importancia de controlar los primeros molares permanentes radica en que, dependiendo de la posición que ocupen en la arcada dentaria, condicionarán la forma de morder que tendrá tu hijo de mayor.


Cuando nuestros pacientes cumplen los 6 años, les realizamos una radiografía panorámica, llamada ortopantomografía, para tener un control de los dientes que le falta por salir. A esa edad, todos los dientes definitivos están presentes, aunque escondidos en los maxilares, excepto las muelas del juicio las cuales no se han formado todavía y puede que nunca lo hagan.

Niña en el dentista

Revisiones en edades tempranas

Las revisiones a edades tempranas nos permiten detectar a tiempo patologías del desarrollo de los huesos de la cara y de la erupción dental. Estas alteraciones pueden ser de nacimiento o por malos hábitos, en cuyo caso será imprescindible identificarlos para poder corregirlas lo antes posible.

A partir de los 6 años de edad no solemos empezar los tratamientos de alineación dental. Abordamos sólo aquellos casos de alteración dental o ósea severa que requieren un tratamiento precoz mediante ortoncia interceptiva u ortopedia dentofacial. Estos tratamientos tendrán una duración aproximada de entre 6 y 12 meses.

 

Casos de alarma que requieren visitar al dentista

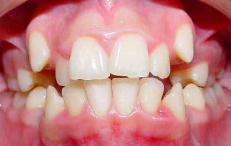
Dientes superiores demasiado sobresalidos. Esta patología suele aumentar los índices de fractura de esos dientes por estar más salidos. En casos severos impide un buen sellado labial, problemas en la respiración, deglución y habla.
Protusión Dental
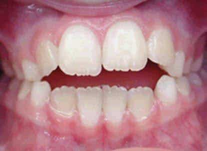
Los dientes de delante no contactan cuando cerramos la boca. Normalmente es debido al uso del chupete, hábito de chuparse el dedo y deglutir interponiendo la lengua entre los dientes. Si no detenemos estos hábitos, podemos tener una mala erupción de los dientes anteriores y deformidad de los maxilares, perjudicando la masticación, deglución y el habla.
Niño con mordida abierta
Al morder, los dientes delanteros superiores tapan por completo los inferiores. Los pacientes con esta alteración suelen tener fracturas repetidas de los bordes en los dientes delanteros y problemas en los movimientos de apertura y cierre mandibular.
Sobremordida
Uno o más dientes delanteros superiores cierran por detrás de los inferiores. Esta maloclusión la debemos corregir lo antes posible. En ocasiones es un problema dental y en otras es un trastorno del crecimiento óseo. Cuando es un trastorno óseo suele ser típico de un rasgo familiar. En estos casos el ortodoncista procurará corregir el crecimiento maxilar con un tratamiento interceptivo ortopédico. Hasta que el niño no llegue a su fase final de crecimiento, no podremos valorar el éxito del tratamiento
Uno o más dientes del sector posterior superior cierran por dentro de los inferiores. Esto se debe a un problema, normalmente, de atrofia del maxilar superior en aquellos pacientes que se chupan el dedo, roncadores y niños con problemas para respirar por la nariz. Si no solucionamos este problema lo antes posible, podemos tener una alteración en la erupción de los dientes definitivos y un desequilibrio en el crecimiento maxilar superior e inferior. Este desequilibrio puede provocar asimetrías faciales en la edad adulta.
Mordida Cruzada Posterior
Este problema ocurre cuando los dientes definitivos son más grandes que el espacio que tienen para salir en los maxilares. Estos dientes, al erupcionar, ocupan un espacio ‘extra’ en la arcada cerrándole espacio al diente que debe salirle al lado. Esto provoca que los demás dientes puedan quedar retenido en el hueso maxilar sin poder salir o aparezcan en posiciones inusuales, por ejemplo: dientes en el paladar o en la encía en un plano muy por encima de los demás.
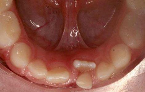
Apiñamiento
Cuando observamos que un diente sale por detrás de uno de leche o en una posición extraña, debemos acudir al ortodoncista para que lo examine.
Erupción Dental
Una alteración en las dimensiones o deviación de los maxilares, puede influir en la harmonía facial y a su vez alterar la masticación , deglución, habla y la fonación. Cuanto antes detectamos estos desórdenes dentarios y/o óseos, antes podremos pautar un plan de tratamiento corrigiendo cada caso en su momento más idóneo.
Crecimiento de maxilares

Tu ortodoncia personalizada​

En CS Dental EDO trabajamos con los mejores laboratorios de ortodoncia del ámbito nacional para ofrecer el mejor servicio a nuestros pacientes. Para los más pequeños y los no tan pequeños, disponemos de una línea de diseño para dispositivos de ortodoncia en los que incluimos a tu equipo de futbol preferido o personaje de TV favorito en tu aparato de corrección. De esta forma tu experiencia será más confortable el tiempo que dure el tratamiento.

Sonrisa con brackets con acero inoxidable

Personalización ‘Deportes’

Personalizamos tus aparatos de ortodoncia con el escudo y colores de tu equipo de futbol preferido, así como de cualquier otro deporte. Ejemplos: Betis, FCBarcelona…

Ortodoncia personalizada para niño de Spiderman

Personalización ‘Películas’

En CS Dental EDO somos fans del cine. Podemos personalizar tus aparatos con los actores y/o motivos de tu película de cine favorita: Frozen, Capitán América, Spiderman, Minnie Mouse, Minions…

Personalización ‘Series’

Nosotros somos fans de las series. Podemos personalizar tus aparatos con los personajes y/o iconos de tu serie de animación favorita: Patrulla canina, Bob Esponja, Hello Kitty

Más información sobre Ortodoncias para Niños

Por favor, activa JavaScript en tu navegador para completar este formulario.
¿Cuándo quieres que te contactemos?
Scroll al inicio