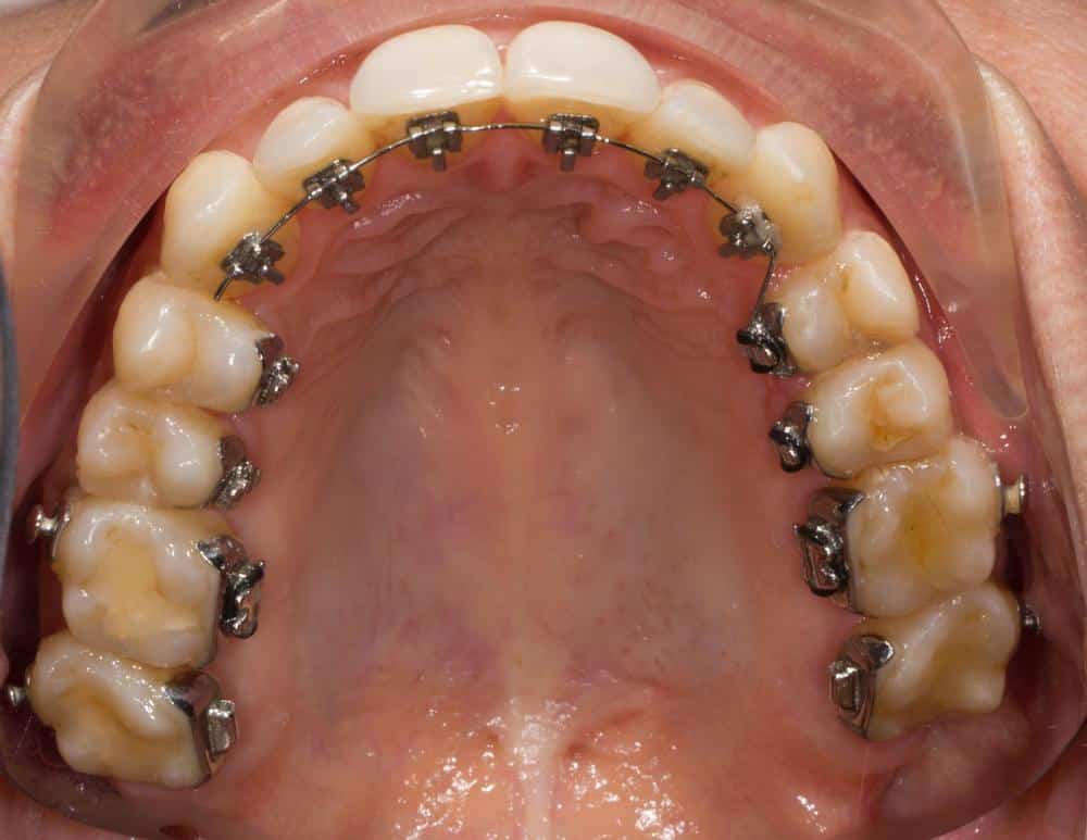
La ortodoncia lingual es un método de tratamiento invisible, similar en su concepto a la ortodoncia tradicional, pero con la diferencia de que se monta en el lado interior de la dentadura, ocultándola así de la vista. Tanto los brackets como los alambres y los elásticos utilizados para corregir una colocación incorrecta de las dientes, resultan inapreciables a simple vista, con la correspondiente ventaja estética sobre otros sistemas.
Un poco de historia
El origen de esta técnica se remonta a mediados de los años 70 del siglo pasado, cuando en Estados Unidos y Japón se desarrollaron paralelamente las primeras ortodoncias internas, en el primer caso por motivaciones estéticas y en el segundo como solución para proteger los labios y mejillas de pacientes que participaban en competiciones de artes marciales.
Ventajas a tener en cuenta
La principal ventaja de este tratamiento es, fundamentalmente, estética, siendo solo apreciable cuando se mira muy de cerca la boca, especialmente cuando se aplica en los dientes inferiores. Esto lo hace ideal para personas a las que, por uno u otro motivo, les avergüenza el hecho de llevar aparatos en su dentadura. Se considera también que pasan más o menos igual de desapercibidos que otras soluciones “invisibles” como los alineadores de plástico transparente de tipo Invisalign.
Inconvenientes
No obstante, antes de optar por una ortodoncia lingual hay que considerar también que, por un lado, puede resultar algo incómoda, sobre todo al principio, a parte del hecho que cada visita al ortodoncista suele alargarse más que las realizadas durante un tratamiento convencional. Sin embargo, con los últimos avances en diseño que se han producido en los últimos años, estos inconvenientes son cada vez menos decisivos.

Revisión y tratamiento
Para someterse a este tratamiento hay que tener en cuenta factores como la tipología de la mordida del paciente, que debe permitir el acomodo de los aparatos. En casos de extrema sobremordida, los brackets pueden quedar sometidos a una excesiva presión a la hora de masticar o apretar los dientes, descolocándose. Los resultados, en cualquier caso, son perfectamente equiparables a los de la ortodoncia convencional, sobre todo desde que para su aplicación se utilizan tecnologías de CAD/CAM y de doblado robótico de los cables.
Qué tener en cuenta tras el tratamiento de ortodoncia lingual
Como regla general, sí es cierto que resulta más difícil y requiere más tiempo acostumbrarse a llevar una ortodoncia lingual. Inicialmente pueden dificultar el habla habitual del paciente, debido a que la lengua toca la parte posterior de los dientes al emitir determinados sonidos, algo que los brackets pueden impedir hasta que se culmina el proceso de adaptación. La solución más efectiva es la práctica, sobre todo la lectura en voz alta.
Durante las primeras semanas también se puede producir irritación en la lengua, ya que al principio algunos pacientes tienden a “explorar” los aparatos constantemente de forma involuntaria. Para evitar este problema se suelen aconsejar enjuagues de agua salada tibia, el uso de anestésicos de forma controlada, e incluso la aplicación de cera ortodóntica sobre los bordes afilados de los brackets y cables.
También puede haber ciertas dificultades a la hora de comer, por los que al principio se recomienda evitar alimentos crujientes, duros o pegajosos, además de intentar ingerir siempre pequeños bocados. Alimentos como el arroz, la pasta, el pescado, las hortalizas cocinadas y el pan de molde son los más sencillos de masticar durante los primeros días de tratamiento. Normalmente, todas las molestias desaparecen al cabo de un mes de usar la ortodoncia lingual, al menos en la gran mayoría de los casos.
Si quieres más información sobre el mejor tratamiento de ortodoncia para mejorar tu sonrisa y tu salud bucodental, llámanos al 93 249 00 80 y te informamos sin compromiso