Implantes Dentales en Barcelona

Tipos de implantes dentales: Clasificación y tipos

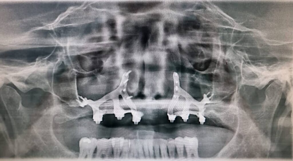
Dentadura completa

Cuando un paciente necesita reemplazar piezas dentales, una de las dudas más frecuentes es: ¿qué tipos de implantes dentales existen y cuál es el mejor para mí?. La realidad es que no hay una única respuesta, ya que la elección depende del diagnóstico clínico, la cantidad de hueso disponible, las necesidades estéticas y la planificación del tratamiento.

En Clínica Dental Edo, especialistas en implantes dentales en Barcelona, realizamos siempre un estudio completo con ortopantomografía, CBCT/TAC 3D y analítica antes de recomendar un diseño u otro. El material y el tipo de implante son importantes, pero lo fundamental es elegir la opción más segura y predecible para cada paciente.

¿Qué tipos de implantes dentales hay?

Los implantes se pueden clasificar de diferentes maneras: por su forma, por la forma en la que se integran en el hueso o por el tipo de prótesis que soportan. Los dos grandes grupos son los implantes endo-óseos y los implantes yuxta-óseos o subperiósticos.

Implantes endo-óseos

Son los más utilizados en la actualidad. Se colocan directamente en el hueso maxilar y, tras el proceso de cicatrización, quedan osteointegrados, actuando como una raíz artificial. Su alta tasa de éxito y versatilidad los convierten en la base de la implantología moderna.

Con forma de tornillo

Son el diseño estándar y el más frecuente. Gracias a su roscado, permiten lograr una excelente estabilidad primaria, controlando el torque de inserción. Se utilizan en implantes unitarios, múltiples y en rehabilitaciones completas de arcadas.

Implante tipo tornillo

Cilíndricos o press-fit

Se estabilizan por fricción más que por rosca. Fueron habituales en los inicios de la implantología, pero hoy se emplean en casos muy específicos, ya que los de tornillo ofrecen mayor control y predictibilidad quirúrgica.

Laminados (blade)

Tienen forma de lámina y se indicaban en pacientes con crestas óseas muy estrechas. Actualmente su uso es limitado, porque disponemos de implantes de diámetro reducido y técnicas de regeneración ósea que permiten abordar estos casos con mayor seguridad.

Monoblock

Son implantes de una sola pieza, en los que cuerpo y pilar van unidos. Se utilizan en situaciones muy concretas, como atrofias óseas, ya que permiten cierta adaptación. Requieren una planificación muy precisa y un control riguroso de la oclusión.

Implantes yuxta-óseos o subperiósticos

Se apoyan sobre el hueso, pero no se insertan dentro de él. Antiguamente se indicaban en pacientes con gran pérdida ósea, donde no era posible colocar implantes endo-óseos. Con los avances en regeneración ósea y técnicas modernas, su uso hoy es muy excepcional.

Estos implantes se diseñan a medida, pero su mayor inconveniente es que tienen menos estabilidad a largo plazo y requieren un mantenimiento exhaustivo.

Tipos de implantes según su movilidad y prótesis asociada

Otra manera de clasificar los implantes es según el tipo de prótesis que soportan. Aquí distinguimos entre soluciones fijas, removibles o combinadas.

Implantes dentales con dientes artificiales fijos

Se trata de coronas o puentes soportados por implantes que quedan cementados o atornillados. Son la opción más estética y cómoda, ya que funcionan como dientes naturales y no pueden retirarse por el paciente.

Prótesis dentales atornilladas en implantes

Muy utilizadas en rehabilitaciones completas de arcada. Se colocan sobre 4–6 implantes por maxilar y permiten al paciente disfrutar de una sonrisa fija desde el primer día. Una ventaja es que pueden retirarse en clínica para mantenimiento o ajustes.

Prótesis dentales semi extraíbles

Combinan la estabilidad de los implantes con la comodidad de poder retirarlas en casa para limpiarlas. Son una opción intermedia para pacientes que buscan funcionalidad y facilidad de higiene.

Implante dental endosteal

Hace referencia al implante endo-óseo clásico, el más utilizado en la actualidad. Es la opción más segura y con mayor evidencia clínica.

Implante yuxtaóseo

Implante dental cigomático

En pacientes con pérdida ósea severa en el maxilar superior, se pueden utilizar implantes más largos que se fijan en el hueso cigomático (pómulo). Son una solución avanzada para casos donde los implantes convencionales no son viables sin injertos.

Diferencias clave entre los distintos tipos de implantes

Al elegir un implante, hay varios factores a considerar:

  • Osteointegración y biología: los implantes de tornillo endo-óseos son los que mejor se integran en el hueso.
  • Resistencia mecánica: los de titanio en forma de tornillo son los más fiables en casos de bruxismo o fuerzas intensas.
  • Estética: en casos muy visibles, se pueden valorar implantes de zirconio o aditamentos cerámicos para mejorar la apariencia.
  • Complejidad del caso: en situaciones extremas de pérdida ósea, se pueden recurrir a implantes cigomáticos o técnicas de regeneración.

Preguntas frecuentes sobre tipos de implantes

¿Cuál es el tipo de implante más utilizado en 2025?
El implante endo-óseo en forma de tornillo sigue siendo el estándar de oro por su alta tasa de éxito y versatilidad.

¿Qué ocurre si no tengo suficiente hueso para implantes convencionales?
En estos casos valoramos técnicas de regeneración ósea, implantes estrechos o, en situaciones extremas, implantes cigomáticos.

¿Son todos los implantes igual de duraderos?
No. La durabilidad depende del material, del diseño, de la planificación y, sobre todo, del cuidado posterior del paciente.

¿Se pueden combinar dientes naturales con implantes?
Sí, aunque no es lo más recomendable. Dientes e implantes tienen comportamientos distintos, por lo que solo se indica en casos muy seleccionados.

Implantes dentales en Barcelona con Clínica Dental Edo

La elección del tipo de implante no debe hacerse a la ligera ni basarse en modas. En Clínica Dental Edo, especialistas en implantes dentales en Barcelona, realizamos un estudio exhaustivo con CBCT 3D y planificación digital para determinar cuál es la mejor opción en cada caso.

Nuestro objetivo es ofrecerte una solución personalizada, segura y duradera, que te permita recuperar la función masticatoria y la estética de tu sonrisa con total confianza.

Picture of Xavier Franco
Xavier Franco

Especialista en Cirugía e Implantología Oral, Prótesis Dental, Estética Oral y Conservadora.

Índice
Scroll al inicio