Nunca has pensado en qué tipo de tratamiento de estética dental va más contigo. Entre los diferentes tratamientos en estética dental, el blanqueamiento se erige como uno de los más practicados en las clínicas de estética odontológicas de Barcelona.
Ahora bien, lo que se traduce en un tratamiento para obtener unos dientes más blancos puede convertirse en toda una obsesión por querer tenerlos cada vez más brillantes y relucientes.
En este caso, deriva en una enfermedad, llamada blancorexia, que puede tener grandes consecuencias para la salud.
Hay que tener presente que el blanco que resulta de aplicar el tratamiento blanqueador puede no ser igual para cada persona. Cada diente tiene una coloración u otra de esmalte, capa superficial del diente, y una cantidad determinada de dentina, tejido que hay debajo del esmalte y que, en función de su grosor, dará al diente un aspecto más o menos amarillo.
Efectos secundarios
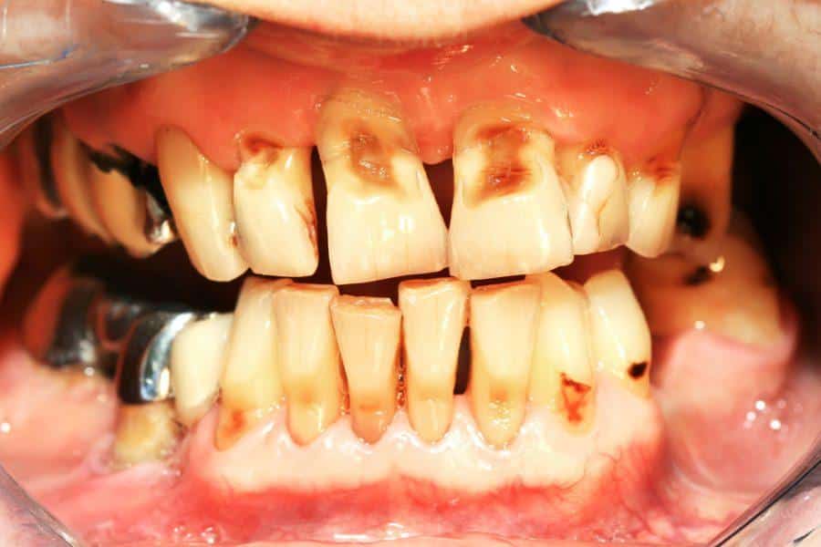
La búsqueda excesiva del blanco en los dientes no solamente es un problema psicológico, si no que puede tener otras consecuencias para los dientes, puesto que algunos estudios han puesto de manifiesto que las exposiciones algo prolongadas a los agentes blanqueadores son dañinos en las encías y dientes.
Algunos efectos secundarios del blanqueamiento de dientes descontrolado son las grietas en los dientes, sensibilidad dental, irritación en las encías, desgaste del esmalte y lesión en la pulpa dentaria.

Por otra parte, el querer tener los dientes más blancos, puede inducir al individuo a utilizar cepillos con cerdas de mayor dureza, a realizar mayor presión sobre las superficies dentales y prolongar los tiempos aconsejados de cepillado dental que rondan los 2 min.
Esto puede conllevar a la abrasión de los dientes, provocando serios daños en su estructura, pérdida de la encía que los acompaña, produciendo serios problemas de hipersensibilidad dental, deterioro de su estructura llegando, incluso, a provocar fracturas de sus coronas en los puntos de mayor afectación, y verse estéticamente muy comprometidos.
Consejos ante la blancorexia
Ante este problema, se recomienda no intentar conseguir unos dientes más blancos con técnicas que no hayan sido aconsejadas por su dentista. No hacer mucho caso de los ‘remedios de la abuela’, estas soluciones caseras pueden ayudarnos puntualmente pero a la larga pueden traernos más riesgos que beneficios.
Es muy importante que se visite al odontólogo para que revise cuál es el estado de sus dientes y prescriba un blanqueamiento a medida. No todos los dientes tienen la misma capacidad de adquirir tonalidades más blancas, es más, hay dientes que, posiblemente, necesiten de otros tratamientos previos para poder llegar a un mismo resultado que los que tiene justo al lado. Su dentista es la persona indicada para realizar una valoración en conjunto de su boca y explicarle qué pasos previos debe tomar antes del blanqueamiento y cuales son los tonos que puede llegar a conseguir con un tipo de tratamiento u otro.

Debe saber que el abuso de agentes blanqueantes no hace que el diente esté cada vez más blanco. El tiempo de tratamiento ideal será el que le prescriba su odontólogo. Todo tratamiento que se exceda de esos tiempos, pueden dañar seriamente los tejidos dentales y los que rodean el diente, así como su vitalidad.
Claves para identificar la blancorexia
Querer lucir una sonrisa bonita no significa que uno pueda tener un problema psicológico, pero hay determinadas claves que ayudan a identificar si se sufre este problema. En primer lugar, el trastorno puede empezar cuando una persona no quiere admitir que los dientes se oscurecen con el paso del tiempo. Estas personas no suelen seguir las recomendaciones del especialista, y aún haciéndose el tratamiento de blanqueamiento dental, siguen viéndose los dientes oscuros. A su vez, quienes sufren de blancorexia suelen alargar los tratamientos y buscan remedios caseros o bien técnicas más agresivas para tener los dientes cada vez más blancos. El uso de cepillos con cerdas duras, realizar mucha presión con el mismo y dedicar tiempos de higiene en casa excesivos, pueden ayudarnos a descubrir que tenemos un problema.
Si cree que padece alguno es estos síntomas, acuda a su especialista a que le revise su estado de salud bucal y le pueda dar consejos y la mejor solución a su problema.
Y si necesitas más información sobre el blanqueamiento dental Barcelona no dudes en contactar con nuestros profesionales en estética dental Barcelona para que te asesoren.
